Introducción
Currículum Vitae
Indicaciones
Contraindicaciones
Anestesia
Técnica
Postoperatorio
Riesgos
Resultados
Preg. Frecuentes
Contacto
RESULTADOS
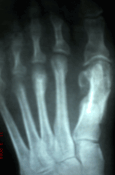
Caso 2: Hallux Valgus del Adulto
Haga click para agrandar las imágenes
<< Anterior
Desarrollado por
Ivetres - Identidad Visual